piwik no script img

SchizophrenieDie Mutter ist nicht schuld

In der Psychoanalyse war man lange sicher, dass Schizophrenie an der Mutter liegt. Wie ein Anruf diese These ins Wanken brachte.

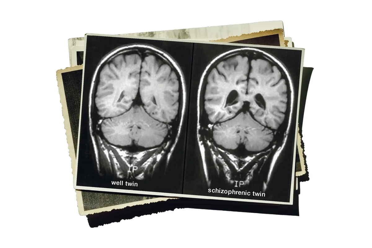
Diese Hirne von Zwillingen, von denen einer schizophren war, waren grundlegend für die Anerkennung der neurobiologischen Ursachen Foto: Fuller Torrey, The Stanley Medical Research Institute, Montage: taz

A ls Eleanor Owens im August 1978 im US-Bundesstaat Washington ihre Zeitung aufschlug, las sie dort von einer schrecklichen Tat. Ein junger Mann hatte ein Seniorenpaar getötet. Er litt an Schizophrenie und befand sich in einem Wahnzustand.

Für Owens ein Déjà-vu. Ihr eigener Sohn, der auch an Schizophrenie litt, hatte ein Jahr zuvor ein ähnliches Verbrechen begangen. Sie erinnerte sich, wie schlecht es ihr danach ging. So erzählt es Owens 2011 in einem Interview mit der Seattle Times.

In dem Moment beschloss sie, etwas Ungewöhnliches zu tun. Sie suchte im Telefonbuch die Nummer der Eltern des jungen Mannes und rief sie an.

Es war ein Schritt gegen die Gefühle von Scham und Schuld. Denn die damals vorherrschende Theorie zur Ursache von Schizophrenie erklärte die Erkrankung mit der sogenannten „schizophrenogenen Mutter“. Der Grundgedanke: Mütter, die angeblich streng, ablehnend, lieblos, dominierend oder überbehütend waren, setzten ihre Kinder einem enormen psychischen Druck aus. So blieb den Kindern angeblich nur noch die Flucht in Wahnvorstellungen und Fantasien.

Der Anfang vom Ende des Mutter-Blamings

Das Problem war nur: Die Theorie war falsch.

Bis die Öffentlichkeit das erkannte, dauerte es bis Mitte der 80er Jahre. Dabei lieferte die Wissenschaft schon lange zuvor Hinweise, dass neben traumatischen Erfahrungen auch genetische Faktoren das Risiko für Schizophrenie erhöhen und die Krankheit mit Unregelmäßigkeiten im Dopaminhaushalt einhergeht. Trotzdem hielten Psy­cho­ana­ly­ti­ke­r*in­nen noch lange an der „Mütter-Theorie“ fest.

Die Wende begann mit dem Anruf von Eleanor Owens bei der Familie des kranken Täters. Am Telefon drückte sie ihnen ihr Mitgefühl aus. Sie bot ihre Unterstützung an. Und sie animierte andere Familien mit schizophrenen Angehörigen, es ihr gleichzutun.

Team Zukunft – der Newsletter zu Klima, Wissen, Utopien

Du liest einen Text aus unserem Zukunfts-Ressort. Wenn Du Lust auf mehr positive Perspektiven hast, abonniere TEAM ZUKUNFT, den konstruktiven Newsletter zu Klima, Wissen, Utopien. Jeden Donnerstag bekommst du von uns eine Mail mit starken Gedanken für dich und den Planeten.

Aus der Gruppe entwickelte sich die National Alliance on Mental Illness (Nami). Gemeinsam kämpften sie für die Destigmatisierung von schizophrenen Menschen und ihren Familien.

Müttern, deren Kinder heute mit Schizophrenie diagnostiziert werden, wird nicht mehr die Schuld für die Krankheit zugeschoben. Dass das so ist, liegt auch an der jahrzehntelangen Arbeit von Angehörigen wie Eleanor Owens.

der anstoß

Wie beginnt Veränderung? In der Kolumne „Der Anstoß“ erzählen wir jede Woche von einem historischen Moment, der etwas angestoßen hat.

Nur wenige Jahre später führte ihre Arbeit zu einer Dokumentation im öffentlich-rechtlichen US-Fernsehen, die über neurobiologische Ursachen von Schizophrenie aufklärte. Der Anfang vom Ende des Mutter-Blamings war gekommen.

Gemeinsam für freie Presse

Als Genossenschaft gehören wir unseren Leser:innen. Und unser Journalismus ist nicht nur 100 % konzernfrei, sondern auch kostenfrei zugänglich. Alle Artikel stellen wir frei zur Verfügung, ohne Paywall. Gerade in diesen Zeiten müssen Einordnungen und Informationen allen zugänglich sein. Unsere Leser:innen müssen nichts bezahlen, wissen aber, dass kritischer, unabhängiger Journalismus nicht aus dem Nichts entsteht. Dafür sind wir sehr dankbar. Damit wir auch morgen noch unseren Journalismus machen können, brauchen wir mehr Unterstützung. Unser nächstes Ziel: 50.000 – und mit Ihrer Beteiligung können wir es schaffen. Setzen Sie ein Zeichen für die taz und für die Zukunft unseres Journalismus. Mit nur 5,- Euro sind Sie dabei! Jetzt unterstützen

Mitsuo Iwamoto
Redakteur
Studium mit Schwerpunkt Internationale Beziehungen in Oxford, danach Ausbildung an der Deutschen Journalistenschule in München. 2025 mit dem Zukunftsressort der wochentaz zu den "Top 30 bis 30" des "Medium Magazin" gewählt. Schreibt oft über soziale Bewegungen und Lösungsansätze in der Klimakrise.
Mehr zum Thema
Ein Packshot der Wochentaz-Zeitung mit einer neutralen Illustration auf der Titelseite.

10 Ausgaben für 10 Euro

Unsere wochentaz bietet jeden Samstag Journalismus, der es nicht allen recht macht und Stimmen, die man woanders nicht hört. Jetzt zehn Wochen lang kennenlernen.

  • Journalismus, der es nicht allen recht macht und Stimmen, die man woanders nicht hört
  • Jeden Samstag als gedruckte Zeitung frei Haus
  • Zusätzlich digitale Ausgabe inkl. Vorlesefunktion
  • Mit Zukunftsteil zu Klima, Wissen & Utopien
  • Mit Regionalteil „Stadtland“ für alles Wichtige zwischen Dorf und Metropole

10 Wochen für nur 10 Euro

Jetzt bestellen

0 Kommentare